インビザライン矯正において、歯科医師・歯科衛生士・歯科助手のチーム連携は、治療の成功に欠かせない重要な要素です。
マウスピース矯正は、どのクリニックで受けても同じ結果になるわけではありません。治療計画の精密さが仕上がりに直結し、当法人では0.1mm単位での緻密な治療計画を作成しています。また、治療の経過観察におけるチーム内での情報共有も、矯正治療の成功には欠かせません。
医療法人Miraiでは、300時間以上の研修と徹底した品質管理をクリアした者のみが治療に携わることができます。
この厳格な品質管理こそが、矯正治療の期間短縮や仕上がりの美しさに大きく影響します。
当法人では、すべての症例の治療計画を作成するDr.山﨑が、矯正治療とチームにかける想いを語るドキュメンタリー動画を公開しています。
私たちの矯正治療へのこだわりや理念をぜひ動画でご覧ください。
矯正治療
[通算]
※1
2000 症例
インビザライン
ドクター ※2
世界27万人中
トップ0.1 %
の実績
※1 2008年~2025年の実績
※2 インビザラインドクターのうちトッププロバイダー受賞ドクターの割合
そのようなお悩み・・・
当院であれば
解決できるかもしれません!
当法人の
マウスピース矯正
REASON
トッププロバイダー
認定医院
インビザライン世界サミットで「トップ0.1%プロバイダー」として表彰された、日本でも数院しかない最高位の認定医院。矯正を任せるなら、世界が認めた実力を持つ当法人へ。
年間401件以上の豊富な経験と実績

米国アラインテクノロジー社・
インビザライン・ジャパン社
公認講師/PBMヒーリング社
公式クリニカルスピーカーの
Dr.山﨑圭一が
全ての治療計画を担当
インビザライン矯正はワイヤー矯正の認定資格である「認定医」や「専門医」のような認定制度はありません。そこで指標となるのは年間のインビザラインの症例数ですが年間400症例以上の矯正治療を行なっている医院が一つの指標となります。しかし数が多ければ仕上がりが良い、治療がうまくいくというわけではなく年間症例数が1000症例や2000症例以上のクリニックは何十名もの歯科医師が手分けして治療計画を立てることが多く治療の一貫性がないところやどうしてもマニュアルベースでの治療になってしまうためイレギュラーや不測の事態に対応できないことがあります。当院では歯科医師ごとの力量差や仕上がりに違いが出ないようにDr.山崎圭一が分析、診断、治療計画まで一貫して行います。Dr.山崎は米国アラインテクノロジー社/インビザライン・ジャパン社に実績を認められた歯科医師です。インビザライン社公認講師は今までの実績数だけではなれるものではなく、治療計画の精度や仕上がりまで含めて厳しく精査され、人格者でないと公式の講師になることはできません。インビザラインドクターはセミナーを受講すれば誰でも名乗ることができる資格ですが経験が浅い場合は満足のいく仕上がりになる確率も高くないので「認定を受けている歯科医師が治療計画を作成しているか」「年間400症例以上か」「インビザライン社の公認講師か」が選ぶポイントとなります。
またDr.山崎は光加速矯正装置(スピード矯正)PBMヒーリング社の公式クリニカルスピーカー(日本全国で2名)でもあるためスピード矯正希望の方も安心して通っていただけます。
当院の精度の高い治療
なるべく
歯を抜かず
に改善
お顔全体を
考えた
矯正治療
追加料金なし・
トータルフィーでのご提供
当院のマウスピース矯正は月々の調整料金や追加料金が一切ない「トータルフィー制度」です。
必要な矯正装置が増えたり、治療期間が予定よりも伸びたりしても
最初にご提示した以上の金額が必要になることはありませんのでご安心してご契約いただけます。
インビザライン・
スタンダード
上下全顎の矯正治療
906,000円+精密分析料22,000円+保定料22,000円の合計950,000円(税込)
インビザライン・
ベーシック
上下顎の部分矯正
636,000円+精密分析料22,000円+保定料22,000円の合計680,000円(税込)
インビザライン・
スマート
上下顎の部分矯正
426,000円+精密分析料22,000円+保定料22,000円の合計470,000円(税込)
※消費税・金利・手数料が含まれます(120回払いの場合)
カウンセリング
患者様の心情に考慮した治療を目指しております。
当院にいらした患者様に対して、悩みや不安をお聞きして耳を傾け、お一人お一人に適した治療の選択肢を提案いたします。気になる事などがございましたらいつでもご相談ください♪
なるべく歯を抜かずに
矯正治療をすることが可能
永久歯は一度抜いてしまうと二度と生えてきません。
当院では、歯を抜かない矯正であるインビザラインを行うことで患者様の大事な歯を守りながら歯並びを改善いたします。
抜かない矯正は抜く矯正よりも治療期間が短く、治療中の痛みが少ない上に後戻りの可能性も低い治療方法です。
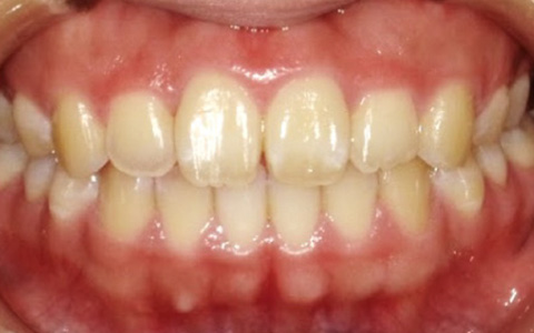
| 施術内容 | 上下顎重度叢生を遠心移動を用いた非抜歯矯正で治療 |
|---|---|
| 治療期間 | 1年10ヵ月(通院回数22回) |
| リスク・副作用 | 治療初期の段階では、痛みや不快感が生じる可能性があります。個人差により予想された治療期間より長くなる場合があります。 |
| 費用 | 948,000円(税込) |
症例によって選べる
マウスピース矯正装置
当院では、症例によって違う種類のマウスピース矯正を行うことができます。
症状が軽い人に向けたインビザラインライトやほとんどの症例に対応しているインビザラインフルがあり、患者様の歯並びに合わせた種類のマウスピース矯正をご提供いたします。
|
当法人 |
一般的な歯科医院 |
|
| 治療計画 | 全ての治療計画を院長が立案し、治療も実施。 | ・難しいケースのみ院長が対応する。 ・治療計画は外部の先生が行う。 |
| 価格 | 40万~94.8万円 (トータルフィー制度を採用しているため、矯正治療でこれ以上の費用は掛かりません。) |
80万円前後 |
| 相談患者数 | 年間1000人以上 | 年間0~20人ほど |
| 症例数 | 年間400症例以上 | 年間0~10症例ほど |
| 治療期間 | 半年~3年 ※スピード矯正をご希望の方は、お申し付けください。 |
2~3年 |
| 実績 | トッププロバイダー認定医院(全国で0.1%) | - |
| 症例の幅 | 前歯のガタガタ、軽度~重度の全顎矯正などあらゆる症例に対応。治療期間を短縮されたい方も、ご対応しております。 | ・前歯のガタガタ ・軽度な全顎矯正 |
| 診療曜日 | 平日だけでなく土日も診療♪ | 平日・土曜日 |
当院では全ての患者様に
納得していただいた上で治療を
開始いたします。
そのため無理に治療を
行うことは一切ありません。
CONTACT
まずはお気軽に
無料カウンセリング
へお越しください
クラッセ歯科・矯正歯科
神戸セントレース歯科・矯正歯科
マウスピース型矯正装置
(インビザライン)
について
INVISALIGN


マウスピース型矯正装置(インビザライン)は、
透明のマウスピースを歯に装着することで歯並びをきれいに整えていく矯正治療です。
世界的に見ても多くの治療実績があり、
1,000万人以上(2021年5月時点)が行っている矯正治療です。
いつでも取り外しが可能なため日常生活への負担も少なく、周囲の方からも気づかれにくいなど
多くのメリットからマウスピース型矯正装置(インビザライン)を
選ばれる方が増えています。
MERIT
マウスピース型矯正装置
(インビザライン)
のメリット

01
透明で
目立ちにくい
透明なマウスピースのため、装置を装着していても周囲の方から気づかれることはほとんどありません。気づかれずに矯正治療をしたい方におすすめです。

02
取り外し
可能で衛生的
マウスピースはいつでも取り外しができますので、食事中や歯磨きなど日常生活への負担も少なく衛生的に使用することができます。

03
違和感や痛み
が少ない
通常のブラケット矯正などと比較して薄い素材を使用しているため、治療中の違和感や痛みが少ないのが特徴です。

04
通院回数が
少ない
交換用のマウスピースは、来院時に数枚まとめてお渡ししますので他の矯正治療と比較すると少ない通院回数で治療を終えることができます。

05
金属アレルギー
の
方でも安心
マウスピースはプラスチック素材で作られているため、金属アレルギーの方でも安心してご使用いただけます。

06
多くの症例に
対応が可能
出っ歯や受け口、すきっ歯などあらゆる症例に対応しています。他院で断られた場合でもご相談ください。
3D口腔内スキャナー
「iTero」を使用した
患者様に負担の少ない治療です
3D口腔内スキャナー(iTero)とは、口腔内をデジタルスキャンすることで簡単に歯型のデータを採取ができる機器です。従来の歯型採取では印象剤により嘔吐反応を起こしてしまう場合もあり、患者様に対して大きな負担がかかっていましたが3D口腔内スキャナー(iTero)では、負担少なく短時間で歯型を採取することができます。

口腔内のスキャンにより
短時間で
精密な歯型を採取

3Dシミュレーションにより
矯正治療後の
歯並びの確認が可能

デジタルデータにより
精度の高い
正確な診断が可能
CONTACT
まずはお気軽に
無料カウンセリング
へお越しください
クラッセ歯科・矯正歯科
神戸セントレース歯科・矯正歯科
矯正治療の比較
COMPARISON
矯正治療は、マウスピース型矯正装置(インビザライン)に限らず様々な矯正治療方法があります。それぞれの治療法のメリット・デメリットを比較し、自分にあった矯正治療を見つけましょう。
|
マウスピース ![]() |
ワイヤー矯正 ![]() |
裏側矯正 ![]() |
|
| 取り外し | 可能 | 不可 | 不可 |
| 金属 アレルギー |
金属アレルギーの心配は不要 | 使用する素材によっては注意が必要 | 使用する素材によっては注意が必要 |
| 目立ち にくさ |
透明な装置のため目立ちにくい | 歯の表面に見える金属が目立ちやすい | 歯の裏側に装着するため目立ちにくい |
| 装着時の 痛み |
ほとんど感じない | 痛みを感じる場合がある | 痛みを感じやすい |
| 通院の 間隔 |
2~3ヵ月に1度 | 月に1度 | 月に1度 |
| 歯磨きの しやすさ |
普段通り可能 | 磨きにくい | 磨きにくい |
| むし歯 リスク |
取り外しが可能なため通常時と変わらない | 歯磨きがしづらいためリスクが高くなる | 歯磨きがしづらいためリスクが高くなる |
| 治療費 | 費用を抑えることが可能 | 費用を抑えることが可能 | 他の方法と比較するとやや高め |
矯正治療の流れ
FLOW
01
来院予約・受付
下記のいずれかの方法にて、ご予約をお願いいたします。
WEB・LINE予約の場合は24時間受け付けております。
ご予約の日時にご来院いただき、受付までお願いいたします。
02
無料相談・カウンセリング
矯正治療についての疑問点や、患者様のお悩み・お困りごとなどについて丁寧にカウンセリングいたします。当院ではトリートメントコーディネーターがカウンセリングを行いますので、歯科医師に直接聞きづらいことなどもお気軽にご質問ください。
03
口腔内の精密検査
口腔内スキャナー(iTero)やレントゲンなどによる精密検査を行い、現在の口腔内の状態をしっかりと確認していきます。歯をはじめ、頬やかみ合わせなど詳しく調べます。
04
治療計画・マウスピース製作
データをもとに、きれいな歯並び、正しいかみ合わせに導く治療計画を立てます。また患者様自身にも治療計画のシミュレーションを一緒に確認していただき、しっかり納得した状態で治療に入っていきます。
05
治療開始
マウスピース到着後、治療を開始します。マウスピースは1日20時間以上の装着が必須となります。治療開始からしばらくの期間は、約1ヵ月に1度のペースで通院いただき、調整および歯のクリーニングを行います。その後、治療段階にあわせて、1〜2週間に1度、ご自身でマウスピースの付け替えを行っていただきます。この時期の通院は、症例により4〜6週間に1度となります。
06
治療後の経過観察
理想的な歯並びまで整ったら、後戻りを防止するためにリテーナーという後戻り防止装置を装着する必要があります。この期間を保定期間と呼び、2年程度装着します。定期的にメンテナンスにお越しいただきますが、保定期間中の違和感などお悩み事がある場合はお気軽にご相談ください。
ご挨拶
GREETING
見た目が美しくなることはもちろん
気持ちも前向きに、
輝く笑顔のために
当院のホームページをご覧いただき、ありがとうございます。
クラッセ歯科・矯正歯科の院長、山﨑 圭一(やまさき けいいち)です。歯並びに自信を持てないという方は意外と多く、笑う時に口元を隠したり、人との会話や食事も口元が気になって集中できないといったお悩みを抱えてしまう方が多くいらっしゃいます。当院で矯正治療を受けて歯並びを整えた患者様は、矯正前とは見違えるほどの笑顔を向けてくださいます。歯並びが改善したことで気持ちが前向きになり、一層いきいきと輝いていらっしゃいます。また、整った歯並びは見た目だけではなくむし歯リスクの低減やかみ合わせの向上や発話の改善など、様々な健康上のメリットもあります。メリットの大きい矯正治療を一人でも多くの方に気軽に受けていただけるよう、当院では透明マウスピース矯正「インビザライン」を積極的にお勧めしています。歯並びやかみ合わせにお悩みでしたら、どうぞお気軽にご相談ください。
医院紹介
CLINIC
〒658-0054 兵庫県神戸市
東灘区御影中町3-2-1
御影クラッセ4F
〒587-0002 大阪府堺市
美原区黒山22-1
ららぽーと堺 2F
| 診療時間 | 月 | 火 | 水 | 木 | 金 | 土 | 日 |
|---|---|---|---|---|---|---|---|
| 10:00~13:00 | ● | ● | / | ● | ● | ● | ● |
| 14:30~19:00 | ● | ● | / | ● | ● | ▲ | ▲ |
▲:土日の午後の診療は14:00-18:00となります。
※午前午後ともに最終受付時間は30分前です。
〒650-0021 兵庫県神戸市
中央区三宮町1丁目4−3 クレフィ三宮8階
| 診療時間 | 月 | 火 | 水 | 木 | 金 | 土 | 日 | 祝 |
|---|---|---|---|---|---|---|---|---|
| 9:00~17:30 | ● | ● | / | ● | ● | ● | / | / |
休診日:水曜、日曜、祝日
ACCESS
アクセス詳細
お車でお越しの方へ
電車でお越しの方へ
お車でお越しの方へ
電車でお越しの方へ
治療費
FEE
| ⼤⼈の矯正治療費 | |||
|---|---|---|---|
| インビザライン・スマート (上下 6~10ヶ⽉程度) |
470,000円 | 月々4,600円~ | |
| インビザライン・ベーシック (上下 12ヶ⽉程度) |
680,000円 | 月々6,700円~ | |
| インビザライン・スタンダード (上下 2~3年程度) |
950,000円 | 月々9,400円~ | |
| こどもの矯正治療費 | |||
| ⼩児予防矯正 (プレオルソ+インビザラインファースト) ※諸費⽤も全て含まれます |
550,000円 | 月々5,500円~ | |
| 後戻りした歯の再矯正 ※当院で治療後は安心の「5年保証」付き ※通常47万円(税込)のプランを25万円(税込)にしています。 |
250,000円 | ||
| 諸費⽤について | |||
| 初診相談料(カウンセリング) ご希望をお伺いして患者様ごとに最適な治療⽅法をご提案します |
無料 | ||
| 調整料 来院時の経過観察料・処置料 |
0円(※治療料⾦に含まれます) | ||
| 遠隔モニタリングアプリ ご⾃宅で治療の進⾏具合を確認できるため来院回数を減らすことができます |
0円(※治療料⾦に含まれます) | ||
| 精密診断料 精密検査・診断を⾏い治療計画を作成いたします |
22,000円 | ||
| 保定料 当院ではインビザラインの保定に最適化された公式ビベラリテーナーを使⽤しております |
22,000円(上下1セット) | ||
※上記の金額表示は全て税込表記となっております。
(例)⼤⼈の矯正治療費:インビザライン・スタンダード(上下顎)の場合、906,000円+精密分析料22,000円+保定料22,000円の合計950,000円(税込)となります。
PAYMENT
お支払方法
当院では、現金/クレジットカード/
デンタルローンでの
お支払いが可能です。
現金
クレジット
カード
デンタル
ローン
デンタルローンでお支払の場合
2回での分割払いの場合は、
手数料が無料となります
デンタルローンでのお支払い例
月々
円(税込)で始められます
月々
円(税込)
で始められます
※初回のお支払のみ、16,245円(税込)となります。
※治療費550,000円のマウスピース矯正を120回の
分割払いで
お支払いいただく場合の例となります。
医療費控除
マウスピース型矯正装置(インビザライン)による治療は医療費控除の対象となります。医療費控除とは、ご自身または生計をともにするご家族が1年間に支払った医療費の合計が10万円以上の場合に一定の金額を所得金額から控除できる制度の事です。ご不明点がございましたらお気軽にご相談ください。
よくあるご質問
QA
マウスピース型矯正装置(インビザライン)の治療期間はどれくらいですか?
前歯から奥歯まで全ての歯を移動する全顎矯正の場合は約2~3年程度で、マウスピース型矯正装置(インビザライン)と通常のブラケット矯正で比べても治療にかかる期間はほとんど差がありません。取り外しが可能で快適な治療ですが、矯正治療期間が長くなるわけではないのでご安心ください。
マウスピース型矯正装置(インビザライン)は1日どれくらい装着する必要がありますか?
日中はもちろん、睡眠時にも着用し、1日20時間以上装着する必要があります。20時間と聞くと長く感じますが、マウスピースはとても薄く作られており装着時の違和感や異物感が少ないため通常のブラケット矯正と比較するとかなり快適にお過ごしいただけます。
むし歯があっても矯正治療はできますか?
むし歯や歯周病など歯の疾患がある場合は、原則としてそちらの治療を優先して行います。当院は総合歯科医院のため、むし歯の治療から矯正治療まで一貫して治療することができますのでご安心ください。
矯正治療中でもホワイトニングはできますか?
マウスピース型矯正装置(インビザライン)の場合、同時にホワイトニングを行うことができます。矯正治療に使用しているマウスピースに専用の薬剤を流し込み、装着することでホワイトニングを行います。
費用を分割払いにすることはできますか?
デンタルローンによる分割払いをご利用いただけます。
最大120回払いまで可能ですので、月々の費用を抑えて歯並びを整えることができます。
マウスピース型矯正装置
(インビザライン)は
薬機法の
対象外です